ご利用案内
日帰り人間ドック・健康診断のご案内(予約制)
感染症対策について
健診を受けられる方へ
当院では感染予防のため、健診を受けられる方への以下の項目のご協力をお願いしております。
来院の際は必ずマスクの着用をお願いいたします。
※内視鏡検査(胃カメラ)を受けられる方は検査によりマスクが汚れる場合があります。
予備のマスクをご持参ください。- 「十分な換気」「こまめな手洗い・手指消毒」など、基本的な感染予防対策の徹底をお願いいたします。
- 各所にアルコール消毒液を用意しておりますので手指消毒をお願いいたします。
- 健診待合室では間隔をとり、密集・密接防止にご協力をお願いいたします。
健康状態に不安のある方、ご不明な点などございましたら健康増進部までお問い合わせください。
各種健診のご案内
料金は税込です
| 実施日 | 月 ~ 金 |
|---|---|
| 定休日 | 土・日・祝祭日、11/11(創立記念日)、12/29~1/3 |
| 所要時間 | およそ半日で終了(コース、オプションにより午後になる場合もあります。) |
| お申し込み |
※予約制 直通電話 083-901-6186(健康増進部) 受付時間 13:00~16:00 |
日帰り人間ドック:44,000円/31,900円(胃検査なし)
検査項目
- 身体計測(身長・体重・標準体重・BMI・腹囲)
- 視力・眼圧・眼底
- 聴力・肺機能検査・血圧・心電図・胸部レントゲン(正面・側面)
- 腹部超音波検査
- 胃透視検査もしくは、胃内視鏡検査(経口・経鼻)
- 便潜血反応(2日法)
- 尿検査(潜血・糖・蛋白・沈渣)
- 血液検査(貧血・血液像・血液型・脂質・肝機能8項目・膵機能・腎機能・尿酸・炎症反応・肝炎検査・感染症)
- 糖尿病検査(空腹時血糖・ヘモグロビンA1c)
- 医師の診察及び結果説明
一般健診:27,500円/15,400円(胃検査なし)
検査項目
- 身体計測(身長・体重・標準体重・BMI・腹囲)
- 視力・聴力・血圧・心電図・胸部レントゲン(正面)
- 胃透視検査もしくは、胃内視鏡検査(経口・経鼻)
- 便潜血反応(2日法)
- 尿検査(潜血・糖・蛋白・沈渣)
- 血液検査(貧血・脂質・肝機能4項目・腎機能・尿酸)
- 糖尿病検査(空腹時血糖・ヘモグロビンA1c)
- 医師の診察及び結果説明
がんドック:66,000円/53,900円(胃検査なし)
検査項目
- 腹部MRI(3.0テスラ)検査
- 低線量胸腹部CT(80列)検査
- 血液検査(腫瘍マーカー等)
- 身体測定
- 血圧測定
- 尿検査
- 便潜血検査
- 胃内視鏡検査(経口又は経鼻)
- 胃の健康度チェック(ペプシノゲン法・ピロリ抗体法)
公費健診
山口市国保人間ドック・簡易脳ドック
山口市にお住まいで、国民健康保険に加入されている、75歳未満の方が対象です。
(実施期間:6月1日~12月20日まで)
協会けんぽ生活習慣病予防健診
社会保険をお持ちの方で、事業所からのお申し込みが必要です。
健康診査
症状のない人を対象に健康状態の確認をし、病気を未然に防げるよう日常生活の悪習慣を改善することを目的として実施します。 メタボリック症候群(肥満・高脂血症・糖尿病・高血圧)の可能性がないか調べます。 保険証の種類によって、申込み方法が異なることがありますのでご相談ください。
オプション検査のご案内(事前予約が必要です)
脳ドック、もの忘れドック、胸腹部CT検査、膵ドック、乳がんMRI検査は単独で受けられます。
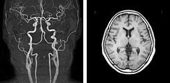
脳ドック:22,000円診(がんドック御利用の方:14,300円)
頭部(MRI・MRA)+頚部(MRA)
数種類の脳MRI(磁気共鳴画像)、2方向の脳血管MRA(磁気共鳴血管画像)を、モニター上で回転して立体的に観察し、異常がないか検査します。
もの忘れドック:27,500円(がんドック御利用の方:19,800円)
「もの忘れ」が単なるもの忘れなのか健康障害(脳血管障害・アルツハイマー病などの種々の病気)によるものなのかを早期発見するものです。
- 血圧測定
- もの忘れ相談プログラム
- MRI(頭部MRI・MRA・頚部MRA)検査
- VSRAD(海馬の萎縮の程度)
放射線科専門医による結果説明があります。(後日)
胸腹部CT検査:17,600円(胸部・腹部それぞれ単独での撮影も可能です)
胸部CTは肺疾患(肺がん・肺気腫など)の検索にお勧めします。 喫煙されている方は特にお勧めします。腹部CTは肝・胆・膵・腎・脾臓の異常の早期発見に有効です。
膵ドック:36,300円
「膵臓」が気になる方、腹部超音波検査で膵臓が見えにくいと言われた方におすすめします。
- 上腹部CT検査
- 膵臓MR検査
- 血液検査(CEA,CA19-9,アミラーゼ)
放射線科専門医による結果説明があります。(後日)
乳がんMRI検査:18,000円
乳がんを診断するための乳腺MRI(3.0テスラ検査)、最も病変発見率の高い画像診断です。
放射線科専門医による結果説明があります。(後日金曜日)
※妊娠中の方、ペースメーカー挿入中の方はご相談ください。
腫瘍マーカー
悪性腫瘍の可能性を血液で調べる検査です。
希望の項目を選択できます。 ※実施する項目の料金を合計し、判断料をプラスします。
| 項目 | 料金(税込) | 判断料(税込) |
|---|---|---|
| CEA(大腸がんなど) | 1,100円 | 1,100円 |
| CA19-9(膵・胆道がん) | 1,430円 | |
| AFP(肝細胞がん) | 1,100円 | |
| CYFRA(肺扁平上皮がん) | 1,760円 | |
| SCC(食道がんなど) | 1,100円 | |
| PSA(前立腺がん) | 1,320円 | |
| CA125(卵巣がん) | 1,540円 |
その他の検査
| 項目 | 料金(税込) | 検査でわかること |
|---|---|---|
| 肝炎検査(HBs抗原・HCV抗体) | 3,300円 | |
| 胃の健康度チェック(ABC分類) | 3,300円 | 2種の血液検査(ペプシノゲン法・ピロリ抗体法)を組み合わせて胃の健康度を血液検査で調べる検査です。 |
| 腹部超音波検査 | 5,500円 | 超音波を利用して肝臓、胆のう、膵臓、腎臓、脾臓などに異常がないか調べます。脂肪肝が気になる方にもおすすめします |
| 骨密度測定 腰椎・大腿骨頸部 | 4,400円 | 年齢と共に減少しやすい骨密度を測定することで、骨粗しょう症の程度を調べる検査です。 |
| 簡易睡眠時無呼吸検査 | 8,800円 |
寝ている時いびきがひどい、時折息をしていない様子がある、昼間に強い眠気に襲われるなど、心当たりのある方におすすめします。 ※簡易の機械を持ち帰って検査し、翌日返却していただきます。 ※レポートによる結果報告となります。 |
| 子宮頸がん検診(内診・細胞診) | 3,960円 | |
| 乳房エックス線検査 (マンモグラフィ 40歳以上の方対象2方向) |
5,940円 | ※女性技師が実施します。 |
| 乳房超音波検査 (検査日指定:水~金曜日:13時から) |
3,300円 |
乳房エックス線検査で乳腺濃度が濃い方や80歳以上で乳がん検診をご希望の方におすすめです。 ※女性技師が実施します。 |
| 眼圧検査 | 880円 | |
| 眼底検査 | 1,100円 | 糖尿病治療中で眼科受診のない方や緑内障が気になる方におすすめします。 |
| 肺機能検査 | 3,300円 |
受付へのアクセス(健康増進部)
北棟「時間外出入口」より入館し、正面突き当りのエレベーターで4階に降りるとすぐ左手に健康増進部がございます。
関連リンク